
Led by Dr George Papadakis, a Diamond Apex Award-winning Invisalign Elite Provider, recognised among the UK's leading Invisalign clinicians for precision-led, natural smile transformations, with 0% interest-free finance available.
Accurate, fast, and no messy impressions
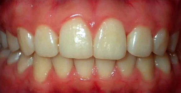
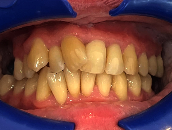
Before starting treatment
See visible improvements in as little as 6-12 months
Tailored to your needs
Make your Invisalign treatment in Chelmsford more affordable with flexible payment plans
Experience Invisalign treatment in Chelmsford with one of the UK's leading Invisalign providers, delivered by Dr George Papadakis, a Diamond Apex Award-winning Invisalign Elite Provider. Using advanced digital planning and a precision-led approach, Dr George focuses on predictable, natural smile transformations tailored to each patient.
Your Invisalign treatment is personally overseen by Dr George Papadakis, one of a select group of UK clinicians to achieve Diamond Apex status — Invisalign's highest level of recognition for clinical experience, case volume, and consistent results.
As an Invisalign Elite Provider, Dr George has successfully treated over 2000 Invisalign cases, from simple alignment to complex bite correction, with a strong focus on aesthetics, comfort, and long-term stability.
Every Invisalign journey begins with advanced 3D digital scanning and bespoke treatment planning. This allows you to preview your expected results and ensures your aligners are designed with accuracy, efficiency, and comfort in mind.
Enjoy fewer visits compared to traditional braces, flexible appointment scheduling, and 0% interest-free finance options, making premium Invisalign treatment accessible and convenient.

Apex Award Winner
See the incredible results our patients have achieved with Invisalign treatment at Beaulieu Dental Chelmsford
Treatment Duration: 9 months
Severe crowding and spacing issues corrected with Invisalign, resulting in a perfectly aligned, confident smile.
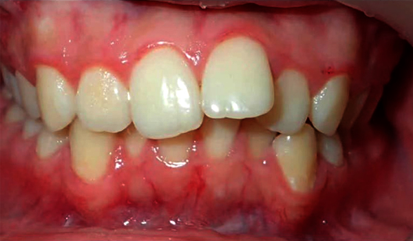
Treatment Duration: 11 months
Significant overbite corrected with Invisalign, improving both function and aesthetics for a healthier, more confident smile.
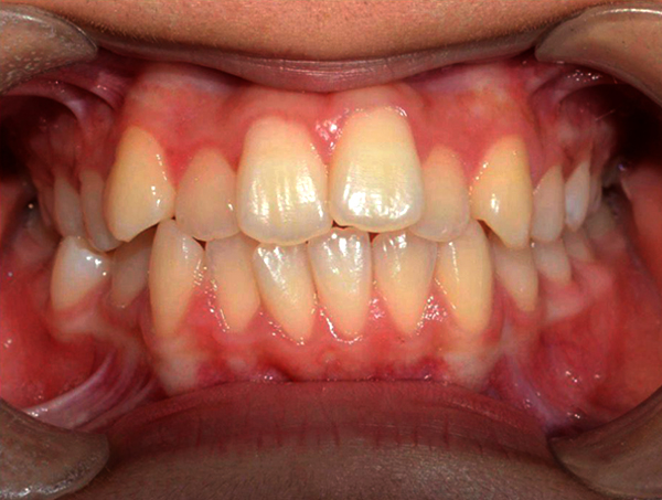
Treatment Duration: 8 months
Multiple rotated teeth straightened efficiently, creating a harmonious and aesthetically pleasing smile.
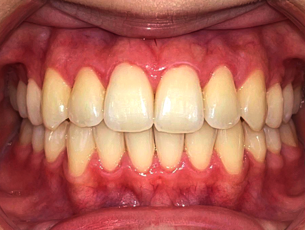
Treatment Duration: 9 months
Crowded and rotated teeth were carefully corrected using Invisalign, creating a straighter, more even smile. This treatment improved alignment, comfort, and overall appearance, delivering a confident, natural result.
Ready to see your own transformation?
Schedule Your Free ConsultationAt Beaulieu Dental, Invisalign treatment is delivered using advanced digital technology and a precision-led clinical approach — ensuring comfort, efficiency, and exceptional results from start to finish.
Your Invisalign journey begins with iTero Lumina 3D digital scanning, providing fast, highly accurate results with no messy impressions. Using advanced digital planning, you can preview your future smile before treatment even begins, giving you clarity and confidence from day one.
Your aligners are custom-made specifically for your teeth and treatment goals, ensuring precise movement, improved comfort, and natural-looking results.
Invisalign aligners are smooth, discreet, and removable — allowing you to eat, drink, brush, and floss as normal throughout treatment.
To ensure your results last and your smile looks its best, your Invisalign treatment at Beaulieu Dental includes custom retainers and FREE professional teeth whitening once treatment is complete.
Your Invisalign treatment is overseen by Dr George Papadakis, a Diamond Apex Award-winning Invisalign Elite Provider, recognised for delivering precise, natural smile transformations with consistent results.
From consultation to your dream smile, we guide you every step of the way
Comprehensive assessment and 3D digital scan of your teeth
Preview your future smile and receive detailed timeline
Receive your custom aligners and start your transformation
Complete treatment with FREE whitening and custom retainers
We offer three hours of complimentary onsite parking in our large, spacious car park at Beaulieu Square Springfield, making every visit to our Chelmsford dental clinic stress-free and convenient.
Free Parking
Book your complimentary Invisalign consultation in Chelmsford and discover how we can transform your smile. Our expert team at Beaulieu Dental Springfield will assess your needs and create a personalized treatment plan just for you.
Complete oral examination and 3D digital scan of your teeth
See a virtual simulation of your future smile before starting
Receive a detailed plan with timeline and cost breakdown
0% Interest-Free Finance
Flexible payment plans available to make your Invisalign treatment affordable
Hear from our satisfied patients who transformed their lives with Invisalign at Beaulieu Dental Springfield Chelmsford
"I was hesitant about getting braces as an adult, but Invisalign was perfect! No one even noticed I was wearing them. The team at Beaulieu Dental made the entire process smooth and comfortable. My smile has never looked better!"
Sarah Johnson
Marketing Executive
"As a teacher, I needed something discreet. Invisalign was the answer! The 3D preview showed me exactly what to expect, and the results exceeded my expectations. The staff at Beaulieu Dental Springfield is incredibly professional and caring."
Michael Chen
High School Teacher
"I love that I could remove the aligners for important meetings and meals. The treatment was faster than I expected - just 10 months! The team were amazing throughout the entire journey. Highly recommend Beaulieu Dental Chelmsford!"
Emily Parker
Business Owner
"After years of being self-conscious about my smile, I finally took the leap with Invisalign. The comfort level compared to traditional braces is incredible. I'm so grateful to Beaulieu Dental for giving me confidence again!"
David Thompson
Software Engineer
"The flexible payment plans made Invisalign affordable for me. The entire process was transparent, and I always knew what to expect. My teeth are perfectly aligned now, and I couldn't be happier with the results!"
Jessica Martinez
Nurse Practitioner
"From consultation to completion, everything was handled professionally. The technology they use is impressive - seeing my smile transformation before it happened was mind-blowing. Worth every penny at Beaulieu Dental Springfield!"
Robert Williams
Financial Advisor
We're here to answer your questions and help you start your Invisalign smile transformation journey in Chelmsford
Beaulieu Dental
11 Centenary Way
Beaulieu Square, Springfield
Chelmsford, Essex CM1 6AU
Out-of-hours emergency services are available, subject to availability. Additional call-out fees apply.
Emergency Contact
01245 465586For urgent dental emergencies outside regular hours, please call our main number and follow the instructions for emergency care.